Thứ Ba, 26 tháng 8, 2014

Lựa chọn phương pháp nắn chỉnh răng tốt nhất

Lựa chọn phương pháp nắn chỉnh răng có thể giúp cải thiện tình trạng trên nhưng thời gian nắn chỉnh răng là bao lâu? Nguyên nhân bệnh? Nan chinh rang o dau tot nhat ha noi
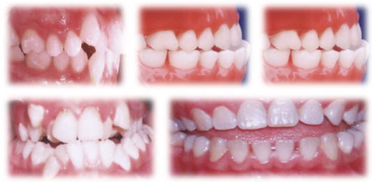
Nhìn lại các dạng sai khớp cắn thường gặp.
- Răng khấp khểnh, chen chúc, xoay trục hoặc thưa
- Hàm trên nhô quá về phía trước, hàm dưới lùi quá về phía sau (Vẩu)
- Khớp cắn ngược, hàm dưới nhỏ quá về phía trước hoặc hàm trên lùi quá về phía sau (móm)
- Khớp cắn hở, hàm răng bị hở không khép kín được.
- Khớp cắn sâu, răng trên che phủ phần nhiều phía hàm răng dưới.
nắn chỉnh răng
Thói quen từ nhỏ ảnh hưởng trực tiếp đến quá trình hình thành răng miệng.
Hầu hết bạn trẻ đều chỉ để ý đến vóc dáng cũng như nụ cười của mình khi đến tuổi trưởng thành. Trong khi những thói quen từ lúc nhỏ tuổi đã ảnh hưởng quá lâu đến răng miệng như những thói quen: mút tay, đẩy lưỡi, thở bằng miệng… dẫn đến răng định hình không tốt.

Không có nhận xét nào:

Đăng nhận xét